ATI TOPICS

medicine

Latest

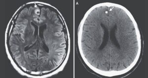
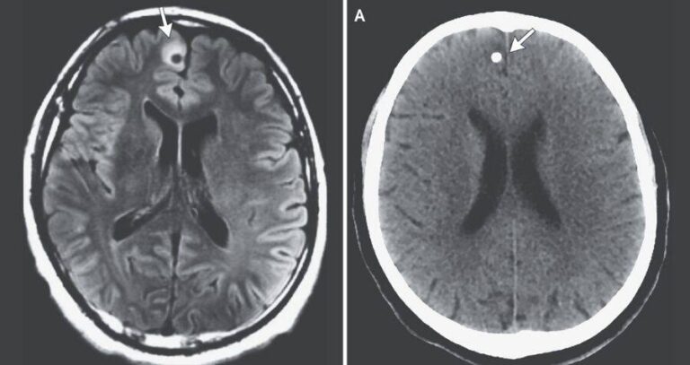
A Boston Man Started Having Mysterious Seizures — Then Doctors Discovered A Decades-Old Tapeworm In His Brain

The unnamed patient emigrated from a rural area of Guatemala where he may have picked up a tapeworm 20 years ago.

By Kaleena Fraga Nov 17, 2021
News

A Boston Man Started Having Mysterious Seizures — Then Doctors Discovered A Decades-Old Tapeworm In His Brain

The unnamed patient emigrated from a rural area of Guatemala where he may have picked up a tapeworm 20 years ago.

By Kaleena Fraga November 17, 2021

Inside Bedlam And The Real Horror Story Of The Bethlem Royal Hospital

Bethlem Royal Hospital in England was the first facility of its kind to treat people with mental illness — but poor management and funding turned it into a chaotic institution that came to define the word "bedlam."

By Leah Silverman Nov 10, 2021

Inside Bedlam And The Real Horror Story Of The Bethlem Royal Hospital

Bethlem Royal Hospital in England was the first facility of its kind to treat people with mental illness — but poor management and funding turned it into a chaotic institution that came to define the word "bedlam."

By Leah Silverman November 10, 2021

The Double Life Of Soccer Mom And Serial Killer Nurse, Kristen Gilbert

The bright snapshot of her suburban life belied a dark negative — Kristen Gilbert was a serial killer who preyed on the weakest victims: those she nursed.

By Andrew Milne Nov 5, 2021

The Double Life Of Soccer Mom And Serial Killer Nurse, Kristen Gilbert

The bright snapshot of her suburban life belied a dark negative — Kristen Gilbert was a serial killer who preyed on the weakest victims: those she nursed.

By Andrew Milne November 5, 2021

This New Chinese Trend Has Some Parents Putting Their Babies In Helmets To Give Them Round Heads

Because round heads are seen as ideal, Chinese parents are snapping up items that range from pillows and sleeping pads to $4,300 helmets that can help mold their children's skulls.

By Kaleena Fraga Nov 3, 2021
News

This New Chinese Trend Has Some Parents Putting Their Babies In Helmets To Give Them Round Heads

Because round heads are seen as ideal, Chinese parents are snapping up items that range from pillows and sleeping pads to $4,300 helmets that can help mold their children's skulls.

By Kaleena Fraga November 3, 2021

Meet 7 Real-Life Mad Scientists That Are Crazier Than Any Movie Villain

From a two-headed dog to attempts to raise the dead, these scientists performed some of the most deranged experiments of all time — often with horrific results.

By Marco Margaritoff Oct 21, 2021

Meet 7 Real-Life Mad Scientists That Are Crazier Than Any Movie Villain

From a two-headed dog to attempts to raise the dead, these scientists performed some of the most deranged experiments of all time — often with horrific results.

By Marco Margaritoff October 21, 2021

Inside Byberry Mental Hospital, The Philadelphia Asylum That Was Worse Than Any Horror Movie

The Philadelphia State Hospital at Byberry tormented its patients with almost no consequences from its opening in 1911 until it was finally shut down in 1990.

By Erin Kelly Oct 21, 2021

Inside Byberry Mental Hospital, The Philadelphia Asylum That Was Worse Than Any Horror Movie

The Philadelphia State Hospital at Byberry tormented its patients with almost no consequences from its opening in 1911 until it was finally shut down in 1990.

By Erin Kelly October 21, 2021

Did Genene Jones Kill As Many As 60 Children As A Pediatric Nurse?

Genene Jones was only convicted for one murder and one attempted murder of a child, but evidence suggests she may have killed dozens more during her time as a pediatric nurse.

By Aimee Lamoureux Oct 19, 2021

Did Genene Jones Kill As Many As 60 Children As A Pediatric Nurse?

Genene Jones was only convicted for one murder and one attempted murder of a child, but evidence suggests she may have killed dozens more during her time as a pediatric nurse.

By Aimee Lamoureux October 19, 2021

The Shocking Story Of Phineas Gage, The Railroad Worker Who Survived A Spike Through His Skull

After Phineas P. Gage took an iron tamping rod through his skull in 1848, his personality changed drastically in a baffling case that helped give birth to modern neuroscience.

By Katie Serena Oct 8, 2021

The Shocking Story Of Phineas Gage, The Railroad Worker Who Survived A Spike Through His Skull

After Phineas P. Gage took an iron tamping rod through his skull in 1848, his personality changed drastically in a baffling case that helped give birth to modern neuroscience.

By Katie Serena October 8, 2021

Meet Dr. Sebi, The Controversial ‘Herbalist’ Who Claimed He Could Cure Any Disease

Dr. Sebi sold vegan diets and "cell food" to some of the world's biggest celebrities — and even claimed that he found a cure for AIDS.

By Bernadette Giacomazzo Sep 30, 2021

Meet Dr. Sebi, The Controversial ‘Herbalist’ Who Claimed He Could Cure Any Disease

Dr. Sebi sold vegan diets and "cell food" to some of the world's biggest celebrities — and even claimed that he found a cure for AIDS.

By Bernadette Giacomazzo September 30, 2021

The True Story Of Balto, The Husky That Helped Save An Entire Alaskan Town From Certain Death

When a deadly epidemic hit the remote town of Nome in the winter of 1925, a group of mushers and sled dogs risked their lives to save the town — with Balto standing out from the pack.

By Marco Margaritoff Sep 26, 2021

The True Story Of Balto, The Husky That Helped Save An Entire Alaskan Town From Certain Death

When a deadly epidemic hit the remote town of Nome in the winter of 1925, a group of mushers and sled dogs risked their lives to save the town — with Balto standing out from the pack.

By Marco Margaritoff September 26, 2021
Page 13 of 39